Janet Hamilton

  • Delirium Tremens and Alcoholism

    Although most habit-forming drugs result in addiction, and therefore withdrawal symptoms, of all these chemicals only two can be deadly upon the cessation of the substance: benzodiazepines and alcohol. Delirium tremens (DTs) refers specifically to the severe symptoms that occur as a result of withdrawal from alcohol. Here’s a...
  • What You Need to Know About Night Eating Syndrome

    A Night Eating Syndrome, NES, is an eating disorder that is typically characterized by eating later in the night and very little during the day. According to WaldenCenter.org, it is a disorder that is often characterized by a delayed circadian cycle (biological clock) of consumption pattern. It affects about...
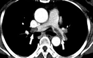
  • treatment pulmonary embolism, pulmonary embolism treatment, pulmonary embolism treatments, treatments for pulmonary embolism, treatment for pulmonary embolism, pulmonary embolism info, amniotic fluid embolism

    A Guide to Types of Embolisms

    When something breaks loose into the bloodstream and travels around, it’s called an embolus. When the embolus comes to a place too small for it to pass through, it creates a blockage called an embolism. The cells on the other side can no longer receive blood flow and begin to...
  • What is a Pulmonary Embolism?

    Pulmonary embolism is a blockage of a pulmonary artery, which is a blood vessel in the lung. Pulmonary arteries bring deoxygenated blood from the right side of the heart to the lungs, and this allows oxygen to be absorbed by the blood. Given the role of these arteries, pulmonary...
  • 6 Skills Every Good HR Manager Needs to Have

    Human resource (HR) managers play a number of roles, depending on the size and organization of a company. They are the main link between employees and employers and they do everything from hiring and managing benefits to mediating employee disputes and developing training curriculums. You need to have a...
  • metastatic renal cell carcinoma treatment, renal cell carcinoma diagnosis, metastatic renal cell carcinoma, metastatic renal cell carcinoma treatments, What is Renal Cell Carcinoma Cancer?, metastatic renal carcinoma treatments, metastatic renal cell carcinoma diagnosis, renal cell carcinoma treatment, renal cell carcinoma, alternative kidney cancer treatment, advanced kidney cancer treatments, kidney cancer survival rates, treatment advanced kidney cancer, metastatic kidney cancer treatments, treatment for metastatic kidney cancer

    What is Renal Cell Carcinoma Cancer?

    Kidney cancer or renal cell carcinoma cancer usually occurs in older people and accounts for about 2 to 3% of cancers in adults, affecting about twice as many men and women. This tumor begins in the cells, which is in the lining of the small tubes within the kidneys....
  • Symptoms and Signs of Bone Cancer

    Bone cancer is a primary or secondary form of cancer. Primary bone cancer is where it begins in the bone. From there, the cancer will then begin to develop in the cells of the bones. Secondary bone cancer is where it begins in other areas of the body. Once...
  • Ear Infection Causes

    Ear infections are very common in infants and small children, and they can be very frustrating for parents when they seem to appear with no apparent cause. However, the cause of ear infections is usually quite simple, and has nothing to do with the environment your child is in....
  • Advice for People Living with Hyperhidrosis

    Hyperhidrosis, while not life-threatening, can still be a debilitating and embarrassing condition. Thankfully, there are steps you can take to ensure that excessive sweating is not a perpetual worry in your life. If you’re unsure of how exactly to reduce your own sweating, use these tips for living with...
  • Overview of Ulcerative Colitis

    Ulcerative colitis is a set of chronic provocative bowel diseases. This disease is characterized by provocative infection of the colon and rectum. Crohn’s disease is about spreading inflammation from the rectum and on the intestinal mucosa but this disease is limited. Both women and men are affected by it....
  • Treatment For Ulcerative Colitis

    Ulcerative colitis is a disease of the colon in which tiny open sores and inflammation develop and produce, pus, mucous, and extreme discomfort of the digestive tract. An abnormal response of the body causes the immune system to mistake materials in the intestine for invading substances, and the body...
  • Become a Physician Assistant in the Military

    The military needs medical and health professionals in order to provide services to soldiers and to offer medical services in countries where the U.S. military is posted. So, many physician assistants work in the military. Whether you choose to join the military after you’ve gone through your PA education...
  • Cancer: Causes, Types, and Treatments

    Cancer is a general name given to over 100 different individual diseases that develop because cells begin to reproduce out of control. When this occurs, these new abnormal cells can then invade other healthy tissues. Once there are enough cancer cells, they will then form a tumor, although there are some that do not, such as those...
  • 9 Signs and Symptoms of Cancer

    Cancer is a group of diseases that manifest themselves in a variety of ways. As cancer grows, it will begin to put pressure on certain nerves, blood vessels, and organs. As a result of this constant pressure, signs and symptoms will begin to present themselves. How the signs and...
  • Cancer Treatments

    From the moment that cancer is detected, it can be very scary. After all, cancer is one of the leading causes of death for all age groups and both genders. However, while cancer is not yet curable, there have been many advances that have changed the way that it...
  • The 5 Stages of Cancer

    We’ve all heard cancer described as being in a particular stage, with higher numbered stages more serious than lower numbers. But what do these numbers actually mean? Most doctors use a staging system called TNM, which measures tumor formation (T), lymph node involvement (N), and the presence of metastasis. 1....
  • Are Embolisms Fatal?

    An embolism occurs when an embolus, or moving particle within the blood vessels, gets stuck somewhere in the cardiovascular system. Blood can’t move past the embolus, and the cells on the other side become oxygen deprived, or “ischemic.” Embolisms can occur anywhere from the foot to the lungs to...
  • How to Get into Human Resources

    The human resources department of any organization or company is dedicated to the recruitment and management of employee, as well as providing direction in the workplace environment. To break into the HR field, a college degree is becoming more of a necessity. Though a degree may not be required,...
  • What Causes Osteoporosis?

    Osteoporosis is a developing condition in which the bones become so fragile that they may break easily and lead to permanent disability or even death. Serious possibilities include the following: bone injuries, serious back pain, and form problems that must demand work, hospitalization, and possible even surgery. Osteoporosis is...
  • Aspirin Can Lower The Risk Of Some Cancers: Here’s How

    Your entire body is made up of cells, which make up the tissues in your body, which a make up your organs. Your organs allow for your body to function and are responsible for various body processes that are necessary for living. Sometimes, however, your cells undergo uncontrolled growth...
  • Is Your Stress Affecting Your Heart’s Health?

    New data sheds light on the mechanism behind stress and heart health. Many heart attacks occur due to the coronary arteries being blocked by blood clots that have been formed when plaques of cholesterol have ruptured. When blood is not flowing in the blocked arteries, it leads to the...
  • Understanding Fibromyalgia

    Fibromyalgia is a chronic condition of virtually body-wide pain. Although it is still not completely understood, it seems to be characterized by poor sleep, cognitive problems, head-to-toe pain and stiffness, and a variety of other physical and psychological symptoms severe enough to interfere with everyday life. Although the exact...
  • ADHD Symptom Myths to be Aware of

    While ADHD continues to be one of the most common neuro-behavioral disorders in children and affect upwards of 4% of adults, this condition is subject to a variety of common myths. Early treatment is key with this disorder, and that is why it is so vital for everyone to...
  • Treatments for ADHD

    ADHD is a comprehensive disorder that leads to different behaviors among children and adults including hyperactivity, difficulty holding attention, as well as impulsive actions. There is no complete cure for ADHD. However, ADHD symptoms can be greatly reduced by carrying out different treatments based upon the different signs and...
  • ADHD in Adults

    What is Adult ADHD? Although it remained unacknowledged for many years, adult ADHD is becoming widely known throughout the world, particularly since this condition affects millions of individuals. ADHD, a term used to describe Attention Deficit Hyperactivity Disorder, is a mental health condition that affects many children. When it...
  • How To Know If You Have An Allergy To

    is an antibiotic. It is one of the most commonly prescribed drugs in the world today. Under most circumstances, can be a life-saving antibiotic and at the same time a deadly poison to those who suffer an allergic reaction. Approximately 10% of the population experiences an allergic reaction when...
  • The Symptoms of COPD

    The symptoms and signs of Chronic Obstructive Pulmonary Disease (COPD) include a heavy wheezing cough or a cough that brings forth large amounts of mucus (often called smoker’s cough); shortness of breath, especially with sports and chest tightness. Some of the symptoms and signs of COPD are identical to...
  • COPD Treatment: What Are Your Options?

    Chronic obstructive pulmonary disease, also known as COPD, is a progressive disease that usually makes it difficult to breathe. “Progressive” simply means that this illness gets worse with time. COPD might cause coughing which produces large amounts mucus, wheezing, chest tightness, and shortness of breath. Cigarette smoking is currently the...
  • What Causes Muscle Pain?

    Muscle pain, or “Myalgia” is a symptom of a larger condition or disease. This type of pain is usually localized, affecting just one or more muscles or parts of the body. Almost everyone experiences sore, aching muscles now and then. Muscle pain can range from mild to excruciating, and...
  • Pros and Cons of a Beauty Career

    Estheticians (also known as aestheticians) are integral parts of spas, salons, and similar places that provide specialized beauty care. Laser hair removal, facials, waxes, chemical peels, among other cosmetic services, are performed by estheticians. Estheticians are not to be confused with cosmetologists, however, who work more in hair cutting,...
  • How Cosmetologists and Estheticians Differ

    Estheticians and cosmetologists are both types of beauty workers. Both tend to work in salons or day spas, and both must gain a client base in order to be successful. The beauty field currently makes quite a bit of money because people are more and more willing to shell...
  • Lymphoma Types in Children

    Lymphoma is a term that refers to a type of cancer that originates in the body’s lymphatic tissues. These include the lymph nodes, lymph vessels, the thymus, the spleen, the tonsils, the adenoids, and bone marrow. Lymphoma is the third most common type of cancer in children, affecting approximately...
  • Psoriatic Arthritis Risk Factors

    Psoriatic arthritis affects some people who have psoriasis, a chronic inflammatory disease of the immune system that manifests itself as patches of red or silvery skin lesions. Most people develop psoriasis before being diagnosed with psoriatic arthritis, but joint issues sometimes appear before skin lesions. Joint pain, swelling, and...
  • How to Prevent Sciatica

    Sciatica is essentially a symptom that consists of pain, tingling, muscle weakness, or numbness along the sciatic nerve. Inflammation or injury in the gluteal area or lower back of the body can irritate the sciatic nerve leading to various symptoms trailing down the leg in the back or even...
  • Symptoms Of Glaucoma

    Glaucoma is often thought of as a single disease, but the term actually describes a group of eye conditions that cause optic damage and possible loss of vision. Usually, the damage is caused by abnormally high pressure within the eye, and glaucoma is one of the primary causes of...
  • What You Need To Know About Thyroid Cancer

    The thyroid is a butterfly-shaped gland in the throat. It makes hormones out of iodine and knows how much to release because of the pituitary gland. Once released, the hormones are then sent throughout the body to control your metabolism. Your metabolism is more than just how fast your burn...
  • What is Congestive Heart Failure

    Congestive heart failure is a progressive condition in which your heart does not pump or fill efficiently. In other words, blood flow through your heart is abnormal. The condition is chronic, which means it cannot be cured. There are, however, many treatment options available to help slow progression and...
  • Could Miscarriage Be Caused By Coffee?

    So, it might seem like the occasional morning espresso is harmless during the nine months of your pregnancy. And who knows, maybe you weren’t even aware you were pregnant for the first few months of it! And that’s okay. A recent study shows that while the one-in-a-while coffee isn’t...
  • What is Lupus?

    Lupus is a disorder in the immune system that causes it to attack various parts of the body. A normally functioning immune system creates antibodies to fight disease and infection. The immune system of a person with lupus cannot recognize an antagonist from normal tissue, resulting in abnormal reactions...
  • Treatment of Lupus

    Diagnosing lupus can be incredibly difficult. There is a wide variety of symptoms you can develop that could point to lupus. No single test is able to completely diagnose lupus beyond any doubt. Luckily, there are a few different tests that can be performed in conjunction with one another...
  • What Causes Prostate Cancer?

    Even though medical advancements are made every day, medical researchers still don’t really know what causes prostate cancer. Fortunately, advances in diagnosis and treatment for prostate cancer look very hopeful. Possible Causes Some men inherit the hereditary prostate cancer gene 1, or the HPC1 gene. Unhealthy changes in the...
  • Causes and Treatments of COPD

    Chronic obstructive pulmonary disease, commonly known as COPD, refers to a chronic inflammatory disease which causes an obstructed airflow from the lungs. It is caused by a long-term exposure to particulate matter or irritating gases, more so from cigarette smoke. Individuals with COPD are usually at an increased risk...